Disclaimer: This article is intended as information only not medical advice. The cases are fictional.

Rapid assessment in A&E:
Quick screening assessment can involve just getting the patient to walk, testing for vision and looking for tremors/weakness/abnormal movements as well as evident congnitive deficit. This + experience can help to rapidly distinguish between the ‘neurological’ emergency (stroke etc) and other differentials.
1. A case of unusual neurology: 60 year old man with tremor, abnormal gait and confusion. Gradual onset = Stroke is unlikely. ?Wernicke’s. Then his symptoms progressed including bilateral facial weakness and pain along right arm. None of this fits with a stroke. He then developed progressive opthalmoplegia (weakness of his eyes) and deteriorated further. MRI/CI – unhelpful. He had an lumbar puncture with extremely high white cells and protein. Then target like rashes were noted on his torso and spirochetes were found in the CSF. Diagnoses = Disseminated Neurological Lyme disease (rare). Treatment: Ceftriaxone 2 grams for 2 weeks. Other signs that can suggest Lyme: Conjunctivitis, Bilat weakness, positive serology, history of walking through forests / contact with certain animals.
Diagnosis: Neurological Lyme Disease

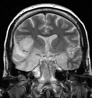
2. A fall with subsequent neurology: A 70 year old lady falls, hits her head and presents to A&E. On admission her chest x-ray looked normal. Initial CT of her head was normal. Then she becomes acutely short of breath and has a CT scan. This shows lots of blood in her chest (left side) – this is called a haemothorax. She has a chest drain inserted to help her breathing. The next day she is quite confused. ? Delirium (acute confusion related to painkillers/infection/trauma of admission). This was very out of character for her so a CT head was performed again. This looked relatively normal, however the brain looked large for someone in their 70’s (the brain shrinks with age), but was reported as normal (there was certainly no obvious abnormality). She then deteriorated and dropped her conscious level and had to be intubated. What is going on here? An LP was performed with white cell count of 1 and a protein level of 1.09. Neuroradiologists agreed that the CT scan looked normal. Then the PCR from the LP showed HSV type 1. MRI then confirmed this in the temporal lobes. This is a very dangerous condition that needs prompt and sometimes prolonged treatment with antiviral therapy.
Diagnosis: HSV Encephalitis Type 1

3. Sudden unconsciousness ?cause. A 50 year old man who became suddenly unconscious (Glasgow Coma Score: 4/15). Examination was normal. He had to be intubated but all his other tests CXR, bloods, ECG were normal. He went on to have a CT scan of his head which was also normal. No evidence he had taken any drugs or toxins. Clinically infection didn’t appear likely. He had no evidence of vasculitis and there was no trauma. He had a second CT scan which showed an area of low density in the thalamus. MRI with DWI showed bilateral thalamic infacts.
Diagnosis: Thrombotic Stroke secondary to occlusion of a single dominant Artery of Percheron
